Play Live Radio
Next Up:
0:00
0:00
0:00 0:00
Available On Air Stations

UD research takes plankton's-eye view of changing Delaware Bay

In January, our science reporter Eli Chen introduced us to University of Delaware marine biologists doing the first major survey of zooplankton in Delaware Bay in six decades.

Those UD researchers are now part way through their work, using facial recognition technology and a high-tech scanner to identify the tiny critters in their samples. The data they collect should provide new insights into the ecology of the bay, and how it's changing -- and it might be a boon for the region's fishery managers, too.

Delaware Public Media's Annie Ropeik tagged along on a recent sampling trip on the bay to bring us a first hand look at their efforts.

It's a hot, sunny morning in the Cape May-Lewes Ferry Channel, near the mouth of Delaware Bay. Oil tankers dot the horizon beyond the research vessel Joanne Daiber, which is slowly towing a pair of nets through the water.

Jon Cohen: So when the nets come up, we're gonna get them to the surface, I'm gonna frame it in, and so the nets will come in, and we'll raise them up…

UD Assistant Prof. Jon Cohen is directing a group of Delaware science teachers who are running this tow. Their goal is to pull up samples of zooplankton -- the creatures a step up from algae on the food chain.

It's part of a two-year survey aimed at getting a comprehensive picture of all the zooplankton in the bay. That could give scientists new insights into the health of the ecosystem and how it's being affected by climate change.

The nets haven't been in the water long, but they're so fine that they're already brown and slimy with zooplankton. Cohen pulls the whole apparatus back onto the deck, and one of his grad students, Adam Wickline, helps the teachers rinse the last of the plankton into two attached containers.

Wickline: Alright. So whenever you think it's good… Tami Hartz (Laurel High School): You think it's good? I've never done this before. Wickline: You can see how it's kind of backing up there...

One of the nets' samples will be preserved to help the scientists separate individual zooplankton and identify them with a special scanner later on. It's part of why these teachers are on board to see the survey in action -- they'll be using an online database of the samples in their classrooms this fall.

Their other water sample is kept alive and swimming. It's so concentrated with life that it appears brown and silty when the teachers take a closer look.

Cohen: So… lots of stuff. Hartz: Mm! Dan Farren (MOT Charter School): Awesome. That is so cool. Cohen: It's in the water just a little bit, and you get a whole lot.

With the samples packed up, the rest of the team brings out the other instrument that's part of today's work. It's a $15,000 piece of equipment called a sonde, which analyzes the water column once a second as it's dipped down to the bottom of the bay.

"One of the most important things in oceanography is to be able to say, how does the water column change as you go down? So, a lot of times it gets colder, it gets saltier, there's going to be less chlorophyll because things can't photosynthesize if it's dark," explains PhD student Corie Charpentier. "And we need to be able to tell exactly what's going on in this water column, because, if the zooplankton are at the bottom -- why? Is it because it's dark? Is it because it's cold? Is there a lot of food?"

Getting data like that every time they take samples will help the researchers see how, when and why plankton spread out in the bay. They're doing this work two days at a time at about a dozen sites throughout the region, every few months. Jon Cohen calls today's work a measurement between measurements.

Cohen: So I'm just going down nice and slow…

He has the sonde hooked up to the same winch he used for the nets, and he's lowering it into the water, while the teachers take notes.

Cohen: That's 15 meters. Let's just leave it there. 10:28:57. … And I think that was the bottom. And we'll probably be able to see that on the turbidity record, 'cause it hits the bottom and there's a big cloud of turbidity.

With all the measurements taken, it's time to head back to Lewes to put them to use.

Across the street from the dock, everyone reconvenes in a classroom at the College of Earth, Ocean and Environment to debrief over lunch before they take a closer look at the samples. Chris Petrone, part of the UD team, is interested in the educational uses of the work they're doing.

Petrone: What else? So Maizie [Silverman, of Brittingham Elementary School], you're coming out with a different angle, and John [Sell, of Shields Elementary School] as well -- the younger crowd. So, first graders, fourth graders. What's jumps out at you as something that you say -- I could use this in my classroom? Silverman: One of the ways we start our living things unit is with the conversation about, what is a living thing? ... I don't know that they necessarily would see those little bitties in the water and know that they were alive. Petrone: Well, we didn't even get into the idea of the food web, right? So ... those things that we're gonna look at in the microscope -- if they're not there, you don't get the stripers, you don't get the sharks, you don't get the menhaden and all the other good stuff that we like to fish for.

That's the crux of why the zooplankton matter -- they either feed fished species, or become them. That includes the blue crab, which state fisheries biologist Richard Wong says is "by far the most important commercial species in Delaware."

Wong helps manage the state's blue crab fishery in Delaware Bay. Combined with New Jersey's, it's worth more than $10 million a year -- four times more than the rest of the First State's commercial fisheries combined. And it's still much smaller than the blue crab fishery where it's best known, in Maryland's Chesapeake Bay.

"The important thing we look for with blue crabs is what the year-class strength is. It's basically the number of juveniles that are born and make their way into the bay each year," Wong says. "So it's a pretty good forward predictor of how the fishery will do in the following year."

But he says they don't know how many larval blue crabs turned into those juveniles from year to year. The babies hatch in the lower bay, where the water is saltier. They're swept out to sea, then return as juveniles. Wong says having more data on that whole process would be a big deal:

"If we see, say, one year, that larval abundance is very high, but then we didn't see many juveniles, then there's something that occurred there that caused a lot of mortality from one stage to the next," he says. "And then, that's the $10 million question for blue crabs, is: What is affecting the year-class strength?"

That's why the water data the UD researchers are gathering is just as important as the details about population. It holds clues to how the bay is changing -- and how that's affecting where plankton like blue crabs go and in what numbers.

Back in the lab, the teachers and researchers are digging into today's findings. They've divided their live sample into petri dishes, placed under microscopes.

Hartz: Look at them! I don't even need the microscope to see they're moving around.

The little zooplankton zipping around in the water are just specks to the naked eye, but Chris Petrone has his microscope blown up on the big screen. There, they look more like bugs.

"Just sort of looking through to find interesting or different things than that we've already seen," Petrone says. "So, we've seen the cladocerans, we have copepods, um... could be looking for crab larvae, or worm larvae…"

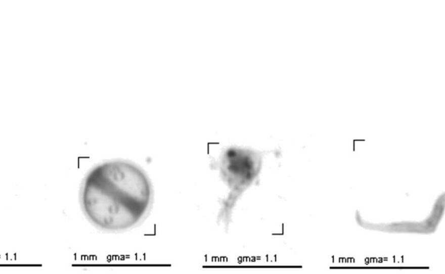
Across the hall, Adam Wickline shows the rest of the teachers how to use the most important piece of technology in their survey: the zooscan machine, basically a waterproof scanner, and a program that runs facial recognition technology on the preserved plankton to identify them. The teachers have to use fine bamboo spikes to separate each animal from the next, which gets tedious pretty fast.

Hartz: I think they look pretty good to me. Sometimes I don't know if they're one big one or two tiny ones, know what I mean? Wickline: Yeah...

He switches on the scanner, and they wait for a preview of their sample to come up on screen.

Tonyea Mead (Delaware Dept. of Education): White page coming over (laughter).… There's stuff. Hartz: With dots! Wickline: Here it is. So what'll happen is it'll have this whole big image … and the computer will break up the image into little boxes. I'll show you-- Hartz: And then you can zoom in on the boxes? Wickline: Yeah. So here's an example -- we call 'em vignettes, that you get from the machine. Hartz: Wow! Mead: So that's an animal right there.

 

They're looking at a zoomed-in photo of a little jellyfish. It's an invasive species -- one of a few they knew of from the last time this survey was done, in the 1950s. So far, the survey hasn't found that those species, or most of the native ones, have moved or spread too much.

What is changing is the water. Jon Cohen says they're expecting more rainfall to have a big impact on Delaware Bay in the future. So doing this survey now will give them a baseline for more research.

"Precipitation changes the salinity, which we know is a huge driver for these organisms in terms of where they're found, and what their populations are like," Cohen says. "And so understanding how precipitation controls the distributions is one of the things we're working on, which would then let us understand future changes in precipitation and how that would affect nutrients and phytoplankton and then, in turn, the zooplankton that graze on them.

"And then also thinking about warming, and so -- in particular, body size, and that's something that we're looking at for the future, is thinking about -- as water warms, the animals that live in that water have a metabolism that speeds up a little bit," he says. "And so what that means for these organisms that grow by molting and shedding their exoskeleton, for a lot of them, you end up with a smaller adult body size in warmer waters."

Changing sizes for zooplankton means the animals that eat them might have to change their diets. Cohen is hoping to learn more about that. And he knows that fisheries regulators, like Richard Wong, are paying attention -- both to their data, and how they're collecting it. In fact, Wong says the scanning technology moves them a step closer to his ideal -- being able to scan the water for animals without removing them.

"It seems like we're not too far away from being able to put a lot of these technologies together -- the sonar, and what they're doing here at the university, to be able to do spatial recognition on what images pop up, you know, to determine species and size and all that, those type of things," he says. "Eventually I would hope that the resolution gets so good that you can identify numbers of fish in the water … maybe you can determine the sex of the fish … that's what I would dream of, and maybe this is something that would lead to that."

The technology UD is using is still fairly new and expensive -- and their survey isn't done yet. It could be a while before it becomes part of fishery management.

But it's already having an impact in other areas -- like the classroom, where the survey data so far will be a new tool for the teachers who helped out today and their colleagues this fall.  

 

More from Delaware Public Media